前沿拓展:明星健美操服装图片女性
只要符合规定(竞技类男生身上不准有亮片,不能是砍袖,不能过于暴露等)就没有事情,不会说因为服装一样去扣分!
上世纪九十年代,很多人的记忆里少不了每日打开电视,身着健美操服的马华伴随着热情洋溢的音乐舞动身体,舞姿矫健有力,从清晨唤醒电视机前的观众。

马华
她是《健美五分钟》的活招牌,在1998年把健美操带上了春晚的舞台,是让健美操能够为大众所熟知的重要功臣。
可以说,马华是国内健美操的第一位大众明星。
也因此,她的去世让很多人都震惊,在去世后的一段时间内,“健美操对身体健康没有帮助”的谣言甚嚣尘上,甚至使健美操整个行业都变得低迷。

马华带学员跳操
在后一次录制的节目当中,马华全身出现红紫斑痕,触目惊心。
她是如何成为中国的健美女皇?身上为什么会出现大片青紫?
充满不舍的离别2001年9月28日,八宝山举行了一场特殊的葬礼。

马华的葬礼上满是吊唁她的粉丝
前来吊唁的粉丝和学员挤满了大厅,据《健与美》杂志的前主编宋金亮回忆,他参加过许多类似的活动,还从没见过送这么多花圈的。
在众多花圈的簇拥当中是一张彩色的遗像:穿着健美操服的马华笑靥明媚,手里拿着哑铃摆出舞蹈动作,显得充满了活力。
因为马华在去世前告诉家人,希望自己葬礼上的照片能够是漂漂亮亮的,不要有遗照通常会装饰的黑纱。

马华的遗像
来告别的很多都是她的粉丝和学员,有位粉丝带了一支火红的玫瑰,郑重地放在了她的遗照前。
马华的人生曾经如同这支玫瑰,灿烂夺目,散发着美丽的馨香。
即使是人生的后一段时间,她缠绵病榻,因为化疗疼得吃不下饭,一下子瘦了十几斤,也不忘和医生开玩笑,想着要为了回归事业坚持锻炼,防止肌肉萎缩。

马华的俱乐部开设分部
如果不是因为这次突如其来的意外,马华会继续活跃在舞台上和俱乐部里,将自己已经开设了10家分部的健身俱乐部推广到更多地方。
她是彻头彻尾的工作狂魔,几乎把人生献给了推广健美操的事业,在身体已经出现不适时也坚持着以工作优先的原则。
以至于,马华在录制的后一档节目里,顶着高烧和身上出现的红紫斑痕跳起了健美操。

马华在健康时录制的节目
在随后的半年多时间里,就像是销声匿迹,马华谢绝了所有录制节目的邀请,也不再和往常一样坚持带学员跳舞。
她的家人们向外声称,说马华突然产生了皮肤过敏的症状,无法再抛头露面。
2001年9月22日0点,马华在病痛中逝世,年仅41岁的她怀着对人世间深深的眷恋,甚至没做好面对死亡的准备,没有留下一句遗言。

马华授课
她急匆匆地离开了,让所有人都猝不及防。
早就了解马华情况的俱乐部员工抑制不住内心的悲痛,在教课时蹲在录音机旁悄悄地哭了起来,好奇的学员们围上去,问过后才知道了一条惊人噩耗:
他们喜爱的马老师已经走了。
不知何时,俱乐部的门前张贴了一份简单的讣告,请想要怀念马华的学员去参加她的葬礼。

年轻时的马华
马华去世的消息在社会上引起了轩然大波,有人怀疑身为职业健美操教练的马华不可能身患重病英年早逝,也有人据此认定跳健美操对身体健康没有任何帮助。
一时之间,各种负面言论四起,给国内发展正兴盛的健美操浇了一盆冷水。
马华究竟得了什么病?为何她的离开能够造成如此大的影响?

马华去世后的新闻报道
兴趣的诞生1959年,马华出生于一个军人家庭。父亲是正军级的干部,不苟言笑,在各个方面对女儿的要求都很严厉。
小时候的马华,身材瘦小,体质比较虚弱,每年冬天换季的时候都会得感冒。为了改良女儿的体质,父亲总是带她做锻炼。
无论锻炼有多累,马华都能咬牙坚持下来,这让父亲发现了她存在着从事体育运动的天分。

马华的全家福
因此,上初中后,爱美的马华加入了体操队,觉得优雅的体操既可以帮助塑造形体美,又能够提供一个平台让她充分发挥自己的体育天分。
经过艰苦卓绝的锻炼,马华长成了美丽的大姑娘,不仅是体操队的主力,还成为了学校宣传队里引人注目的一枝花。
学校如果安排宣传队表演节目,马华都会是舞台上的重要角色。为了表演,她可以现学芭蕾舞,练到脚指头受伤流血,终跳出优美的芭蕾舞来。

马华表演话剧
受父亲影响,初中毕业后,马华选择了参军。
外貌出众、身姿挺拔的她在部队里也被首长选进了宣传队,负责文艺工作。
学校和部队宣传队的经历深刻影响了马华,因此一退伍,马华就进了北京曲艺曲剧团工作,端上了体制内的铁饭碗。
在曲剧团里,马华的主要工作就是为演出报幕,偶尔也会参与话剧的编排和表演。

马华的工作证
有一次,因为一部话剧,导演要求马华跳一支简短的舞蹈,编排的动作活泼有力,舞蹈服装鲜艳夺目,马华没说一句推辞,拿出初中时自学芭蕾的干劲就练起了舞蹈动作。
在当时,国内还弥漫着保守的风气,人们的穿着很少会有黑白灰之外的色彩,马华跳完了这支舞,便爱上了舞动的感觉。
她在工作之余,一直试图找回跳舞时的快乐,正巧,姐姐马力到国外出差,带回来了健美操的运动服和教学录像带。

国外的健美操录像带
姐姐这么做,是觉得马华说不定会对这种蹦蹦跳跳的运动操感兴趣,却没想到马华一看录像带,就如获至宝,彻底沉浸在健美操的学习当中。
健美操伴随着音乐舞动,动作简单有力,正好符合马华的要求。
从此,马华在空闲时间里常常对着录像学习跳操,在熟练的基础上改进和创新动作。
录像带里的健美操,所有动作都是针对外国人的身体条件设计的,中国人学很容易让肌肉进行不适当的锻炼,使肌肉受伤,反而起不到强身健体的作用。

马华练舞
马华练过体操,跳过舞蹈,对中国人的身体特点十分了解。她根据中国人的体质在动作中加入自己的理解和创新,改良出了一种适合中国人运动的健美操。
开始工作后,马华已经很久不锻炼,身体素质又降低了,但学习了健美操,她不再感冒,还能一口气连做50个俯卧撑。
看着自己面色越来越红润,精神气质越来越阳光,爱美的马华不禁想道:如果我让所有人都学会跳这种操,那么是不是大家都能和我一样,精神面貌和气质能变得更好?

马华
于是,马华毅然决然地辞掉工作,和两位同样喜爱健美操的朋友一起到一间私人健身房当教练。
私人健身房刚刚起步,条件不好,暂时开不出工资,但马华毫不在意。父母虽然严厉,也比较开明,愿意支持她试水健美操行业。
在简陋的健身房里,她开启了自己的新事业。

马华教导学员
事业和爱情双丰收1985年,26岁的马华开始从事健美操的教学工作,同时也在不断参加各种健美操比赛,与同好交流切磋。
健美操刚刚传入国内,属于小众运动,对健美操感兴趣的人不多,能参加比赛的专业选手更是少之又少,这些比赛自然不会收到太多的赞助。

马华参加健美操比赛
马华参赛,一般都能取得很好的名次,而奖品主要是电风扇、收音机之类的家用电器,她并不失望,反而会高高兴兴地把奖品抱回家。
在马华眼里,这些奖品都是对她努力的认可。
渐渐地,马华开始有了名气,健美操的技巧水平也日积月累地提高,她发挥的舞台从狭窄简陋的私人健身房变成了更宽敞的健身馆。

马华健美操的录像带
体育企业聘请她到健身馆教学,马华成为了那里的明星教练,一堂课要教三四百人。
为了抢一个前排的位置,学员们都会提前很早就到健身馆等待马华上课,甚至还发生过为抢座位打架的事故。
有的学员从私人健身房时期开始认识马老师,听说她换了个地方教课,就跟到健身馆继续跟着她学跳操,可以说是马华的忠实粉丝。

马华在健身馆里授课
能够拥有这么大的魅力,不仅仅是因为马华教的动作简单有,还有她在教学过程中表现出的活力和对健美操发自内心的热爱。
马华有表演功底,在教学时能够轻松带动学员,调动课堂的气氛,让课堂变得更加活跃。
因为热爱健美操,马华总是尽力以好的状态跳操教学,就连跳操的运动服都是由她自己精心设计好了色彩搭配和款式,踩着缝纫机亲手制作的。

马华家的缝纫机
1989年,马华更进一步,报名并通过了健美操裁判员的考试,奔波各地担任健美操比赛的裁判。
1年后,随着健美操在国内渐渐兴起,筹备了一个健美操主题的节目《健美五分钟》,想邀请一位拥有丰富经验的专业人士来教跳操。
在健美操教练行业从业多年、有演艺经验的马华进入了他们的视线,从而成为了《健美五分钟》的主持人。

《健美五分钟》
每天早上7点,马华会准时出现在电视荧幕上,随着动感的音乐起舞。
刚开始,她主持的这档节目引起了许多负面反响。
因为健美操的运动服十分轻薄贴身,还露出整条胳膊和腿,马华因此受到人们的批评,说她穿着不雅,传播不正风气。
她的健美操动作也受人们诟病,仅仅是扭腰这种锻炼腰部肌肉的动作都会被人指责太过大胆。

马华受到表彰
不过马华毫不气馁,坚持着自己健美操的风格,很快这些吹毛求疵的指责就渐渐消失,对她的赞美声越来越大,《健美五分钟》成为了国民节目。
马华走进了千家万户,让更多人认识了她热爱的健美操,在社会上掀起了学习健美操的风潮。
到1998年,马华登上了春晚,和范晓萱搭档表演《健康歌》,伴随着“左三圈,右三圈,脖子扭扭屁股扭扭……”音乐,她的名声达到了顶峰,可以说是无人不知、无人不晓。

马华在春晚上亮相
马华也成就了健美操,而健美操也成就了马华。她成为了国内健美操第一位大众明星,被誉为“健美皇后”“健美女皇”。
随之起飞的还有马华的事业——从1999年开始,马华拥有了自己的健身俱乐部,不再只是打工仔,随后,俱乐部开到了多个省份,数量扩张到10家。
马华有恐高症,不敢坐飞机,作为工作狂的她就坐着汽车到处奔波,为俱乐部的连锁店开张剪彩。

郭明杰和马华合影
除了事业上的成功,马华也收获了一份的爱情。
她的美丽和激情吸引了众多爱慕者,郭明杰就是其中之一。
当时,外企工作的郭明杰受同事之邀,到健身俱乐部试了试流汗的感觉,然后他对健身房的态度变得更加积极,动机也变得不那么纯粹。
他爱上了马华,并对马华展开了热烈的追求。

马华和郭明杰结婚后
为了考验郭明杰,马华提出了要求:“我要发展自己的健美操事业,所以就算结婚,婚后的前几年也暂时不会生孩子,你能接受吗?”
郭明杰立刻同意了她的要求。
1992年,两人结婚了,郭明杰辞去了在外企待遇优厚的工作,主动做马华的“贤内助”,帮她打理健身俱乐部的各项杂事。
此时的马华,事业和爱情双丰收,然而命运怎么也不会让她就这样幸福美满下去。
绝症之谜起初只是一场感冒,因为有工作在身,马华忍着不适,胡乱吃了点药,就当这病自己会慢慢好的,拒绝了家人去医院检查的建议。
可是症状愈演愈烈,到了2001年2月,马华的症状已经严重,她发着高烧录制完了一档节目。
她的朋友关心她,在她拍摄完所有镜头后问她是不是不舒服,总是强撑着的马华居然承认自己撑不下去了。

年轻时的马华
她拉起长袖,胳膊上出现了红紫的斑痕,触目惊心。
即使马华想要继续工作,也不得不重视起自己的身体。她由家人陪伴,到医院做了全身检查,结果如同晴天霹雳:马华得了急性白血病。
那些感冒、乏力、身上出现斑点都是急性白血病的典型症状。
急性白血病的凶险之处就在于发病快,当病人出现症状,去医院检查时,几乎已经错过了佳调节时期。

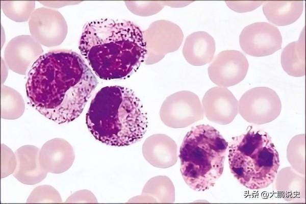
癌变白细胞在显微镜下的样子
因为担心马华患白血病的消息会造成不好的影响,马华的家人们相约守住秘密,对外只说马华得了严重的过敏,不便抛头露面。
他们轮班24小时照看马华,姐姐马力甚至提前退休,只为能够有更多时间陪伴妹妹。
马华本人也十分积极乐观,忍受着化疗带来的巨大疼痛,坚持求生,仍然想着要跳健美操锻炼。
但是尽管所有人竭尽所能,马华的生命仍在无可挽回地凋零。

马华的葬礼
2001年9月22日,马华一睡不起。她去世的消息一经传出,便引起了轩然大波。
为什么身为健美操教练的马华会患上白血病呢?
有人说,马华因为长期操劳过度锻炼,身体早就虚弱了,扛不住病魔。
熟悉马华的家人则认为,马华其实体质一直很差,常常过敏,免疫系统本来就有问题,长期的健美操锻炼只不过是掩盖了这一点。

检测报告
有一种比较可靠的说法是,健身俱乐部当时刚装修过,马华就立即开始在健身房授课,油漆中含有的有毒气体没来得及挥发完全,让马华患上了白血病。
为验证这一猜想是否正确,检测机构对健身房的空气取样化验,发现没有哪种有毒气体指数超标。
可是此时距离装修时间早已过去很久,这种检测已经毫无意义了。
至此,马华为何患上白血病这样的绝症,被时间抹去了找到真相的可能。

马华
结语健美皇后马华的去世让人叹惋,一段灿烂的、本可以创造更多辉煌的人生被疾病画上了休止符,像一个还没讲完的故事一样戛然而止。
疾病在某些事上表现得十分平等,无论贫穷还是富裕,无论是默默无名还是声名显赫,感染、患病的可能性都是平等的,不治率也是平等的。
不过,我们至少能有意识地尽可能避免自己与致病因素的接触,珍爱生命,保护自己。
拓展知识:明星健美操服装图片女性
http://www.olympic.cn/news/olympic_comm/
/842444_4.html (中国奥委会官方网站)